

Ścieranie zębów to problem, który dotyka coraz większą liczbę pacjentów. Choć początkowo może się wydawać jedynie kosmetycznym defektem, w rzeczywistości ma znacznie głębsze konsekwencje zdrowotne. Zęby ścierające się zbyt szybko tracą swoją naturalną strukturę, a tym samym odporność, co może prowadzić do poważnych schorzeń jamy ustnej. W niniejszym artykule dokładnie omówimy, dlaczego dochodzi do ścierania szkliwa, jakie są tego objawy i konsekwencje, a także przedstawimy skuteczne metody ochrony zębów i dostępne formy leczenia, które można podjąć w naszych klinikach stomatologicznych w Pruszczu Gdańskim i Tczewie.
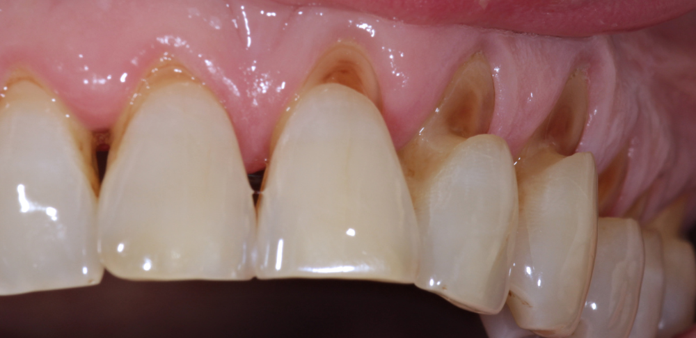
Pierwsze objawy ścierania zębów często można zauważyć samodzielnie. Jednym z nich jest widoczne spłaszczenie powierzchni zgryzowych, które tracą swoje naturalne wypukłości i zagłębienia. Zęby mogą wyglądać na „przycięte” lub krótsze niż wcześniej. Z czasem dochodzi także do zmiany koloru – ścierane szkliwo staje się cieńsze, a przez to bardziej przezroczyste. Odsłania się zębina, która ma żółtawy odcień i sprawia, że zęby wyglądają mniej estetycznie.
Innym symptomem może być pojawienie się nadwrażliwości na zimno, ciepło oraz na słodkie lub kwaśne pokarmy. Jeżeli podczas picia zimnej wody odczuwasz nieprzyjemne mrowienie lub ból, to może być znak, że szkliwo jest już uszkodzone. W lustrze można także dostrzec mikropęknięcia lub prześwity, szczególnie na krawędziach siekaczy.
Stomatolog podczas standardowego przeglądu potrafi rozpoznać ścieranie zębów na podstawie kilku charakterystycznych cech. Po pierwsze, analizuje kształt zębów i wysokość zwarcia. Jeśli zęby są zbyt niskie, a guzy zębowe starte – świadczy to o zaawansowanym ścieraniu. Lekarz może również zauważyć tzw. facety zwarciowe, czyli wypolerowane powierzchnie na zębach, które powstają na skutek ich intensywnego kontaktu.
Stomatolog sprawdzi również stan dziąseł i stawu skroniowo-żuchwowego, ponieważ długotrwałe ścieranie zębów często prowadzi do przeciążeń i bólu w tej okolicy. W przypadku podejrzenia bruksizmu może zalecić wykonanie szyny relaksacyjnej lub konsultację z ortodontą. W gabinetach w Pruszczu Gdańskim i Tczewie możliwe jest wykonanie zdjęć RTG i skanów cyfrowych, które jeszcze dokładniej pokażą stopień zaawansowania problemu.
.png)
Bruksizm, czyli zgrzytanie zębami, to jedna z najczęstszych przyczyn ścierania szkliwa. Problem polega na tym, że w większości przypadków występuje on nieświadomie – najczęściej w nocy, kiedy śpimy. Osoby cierpiące na bruksizm zazwyczaj dowiadują się o tym od partnera, który słyszy charakterystyczne odgłosy tarcia, lub od stomatologa podczas kontroli.
Objawy mogą być subtelne – bóle głowy, uczucie napięcia mięśni żuchwy, zmęczenie twarzy po przebudzeniu czy mikrourazy na języku i wewnętrznej stronie policzków. Z czasem dochodzi do widocznego skrócenia zębów, ich pękania i zwiększonej podatności na próchnicę. Bruksizm często wiąże się z przewlekłym stresem, lękiem lub problemami neurologicznymi.
Leczenie bruksizmu nie zawsze oznacza całkowite jego wyeliminowanie, ale możliwe jest znaczne ograniczenie skutków. Podstawą jest zastosowanie szyny relaksacyjnej, którą zakłada się na noc. Taka szyna działa jak bariera ochronna między zębami, uniemożliwiając ich bezpośredni kontakt i przeciwdziałając dalszemu ścieraniu.
Dodatkowo, warto wdrożyć techniki redukcji stresu – od psychoterapii, przez jogę, po relaksację mięśni żwaczy za pomocą masażu lub fizjoterapii. W skrajnych przypadkach stosuje się również toksynę botulinową, która osłabia aktywność mięśni żwaczy i redukuje nocne zaciskanie zębów.
Choć może się to wydawać zaskakujące, ścieranie zębów dotyka również dzieci i młodzież. U najmłodszych często jest związane z naturalnymi procesami – na przykład z wyrzynaniem się nowych zębów, co może powodować tarcie mleczaków o siebie. U starszych dzieci przyczyną może być stres szkolny, nadpobudliwość czy wady zgryzu.
Nie bez znaczenia jest również dieta – dzieci często spożywają dużo kwaśnych soków, napojów gazowanych czy żelków, które uszkadzają szkliwo. Jeśli dodamy do tego nieprawidłowe szczotkowanie i brak regularnych kontroli stomatologicznych, problem może szybko się pogłębić.
Rodzice powinni obserwować nie tylko zęby swoich dzieci, ale także ich zachowania. Jeśli dziecko skarży się na ból szczęki, ma problemy z jedzeniem twardych pokarmów lub śpi niespokojnie – warto to skonsultować z dentystą. W Art Dentica w Pruszczu Gdańskim i Tczewie dostępni są stomatolodzy dziecięcy, którzy potrafią trafnie zdiagnozować i zaproponować skuteczne leczenie.
Profilaktyka to regularne wizyty co 6 miesięcy, odpowiednia higiena oraz unikanie słodkich i kwaśnych przekąsek. W razie potrzeby lekarz może zalecić lakierowanie zębów, aplikację preparatów wzmacniających szkliwo lub zastosowanie delikatnych szyn ochronnych.
Z wiekiem szkliwo naturalnie się ściera, ujawniając ciemniejszy zębinowy odcień zębów. Można je skutecznie rozjaśnić za pomocą profesjonalnego wybielania metodą nakładkową lub lampą Beyond.
Dieta ma ogromne znaczenie w utrzymaniu zdrowego szkliwa. Produkty bogate w wapń, fosfor i witaminę D wzmacniają strukturę zębów i pomagają w ich remineralizacji. W codziennej diecie powinny znaleźć się produkty mleczne (lub ich roślinne odpowiedniki wzbogacone o wapń), ryby morskie, orzechy, jajka oraz zielone warzywa liściaste.
Nieocenioną rolę odgrywa także woda – najlepiej niskozmineralizowana z dodatkiem fluoru. Jej regularne picie pomaga wypłukiwać resztki jedzenia i neutralizować kwasy w jamie ustnej. Równie ważne jest spożywanie pokarmów wymagających żucia, takich jak surowe warzywa czy twarde owoce – stymulują one produkcję śliny, która naturalnie chroni szkliwo.
Największym zagrożeniem dla szkliwa są produkty kwaśne i wysokoprzetworzone. Napoje gazowane, energetyki, cytrusy, a także cukierki i żelki zakwaszają środowisko w jamie ustnej, przez co szkliwo staje się bardziej podatne na uszkodzenia. Częste podjadanie pomiędzy posiłkami również sprzyja próchnicy i erozji szkliwa.
Warto unikać także nadmiernego spożycia kawy i herbaty, które barwią zęby, oraz alkoholu, który wysusza jamę ustną i ogranicza jej zdolności do samooczyszczania. Jeżeli nie jesteśmy w stanie całkowicie wyeliminować takich produktów, warto przynajmniej przepłukiwać usta wodą po ich spożyciu.
W zależności od stopnia ścierania, lekarz może zaproponować różne metody odbudowy zębów. Licówki to cienkie płatki porcelany, które przykleja się do przedniej powierzchni zęba – świetnie sprawdzają się w przypadku umiarkowanych ubytków i poprawiają estetykę uśmiechu.
Korony protetyczne natomiast otaczają cały ząb, dzięki czemu są bardziej trwałe i odporne na dalsze uszkodzenia. Wykonuje się je najczęściej z ceramiki lub materiałów kompozytowych i są one dedykowane przypadkom zaawansowanego ścierania. Kompozyty to najmniej inwazyjna forma odbudowy – materiał nakładany jest warstwowo bez szlifowania zęba i może być stosowany przy niewielkich ubytkach.
Każde z rozwiązań ma swoje zalety i ograniczenia. Licówki porcelanowe są wyjątkowo estetyczne, ale wymagają minimalnego oszlifowania zęba. Korony oferują największą trwałość, ale wiążą się z większą ingerencją. Kompozyty są szybkie i tanie, lecz mniej trwałe i podatne na przebarwienia.
Wybór odpowiedniego rozwiązania zależy od oczekiwań pacjenta, budżetu oraz wskazań medycznych. W Pruszczu Gdańskim i Tczewie nasze gabinety stomatologiczne oferują kompleksową konsultację, dzięki której można dobrać najkorzystniejsze rozwiązanie dopasowane indywidualnie do potrzeb każdego pacjenta.
Zadzwoń do nas i umów się na konsultację już dziś - Art Dentica Pruszcz Gdański i Tczew KLIKNIJ TUTAJ